|
Cambio del estilo de vida en los últimos 20 años:
La actividad física ha disminuido
La ingesta calórica se ha incrementado
El control remoto y el mouse de la computadora son la actividad física más intensa para muchas personas.

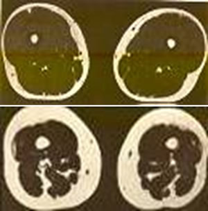
Con la edad y falta de actividad física el tejido muscular se debilita y es reemplazado por grasa. (A la izquierda: corte transversal del muslo de una mujer joven; a la derecha: de una mujer mayor, de la misma estatura y peso. La grasa es lo blanco, el músculo es lo oscuro.) Factores principales de la degradación muscular: falta de ejercicio dietas de hambre falta de proteína en los alimentos.
¿Por qué es bueno hacer ejercicio?
El tejido muscular tiene un metabolismo mucho más intenso que el tejido graso. Entonces, desarrollando el tejido muscular … aceleramos el metabolismo .

La actividad física es una necesidad para quemar calorías y perder peso. Además también ayuda a reducir el stress. El ejercicio ayuda a las personas a pensar más claramente y moverse fácilmente, mejor el humor y aumentar la energía.
El ejercicio ayuda a las personas a pensar más claramente y moverse facilmente, mejora el humor y aumenta la energía.
Ayuda a controlar el nivel de azúcar en la sangre. Ayuda a perder peso acelerando el metabolismo. Aumenta el “buen” colesterol. Ayuda a mantener los huesos, músculos y articulaciones sanos.
Reduce el riesgo de presión alta y diabetes. Promueve el bienestar psicológico reduciendo el estrés y los nervios. Mejora la función del cerebro y ayuda a combatir la depresión.
Mejora el sueño.
Hace mas lento el proceso de envejecimiento.
Diversos tipos de ejercicios ayudan a fortalecer el sistema cardio vascular: ciclismo, natación, correr, etc.
¿Con cuánta frecuencia debe hacer ejercicio?
Tres a cinco veces por semana. Pueden hacerlo lunes, miércoles y viernes; o martes, jueves y sábado. Esto les deja un día intermedio para reposo. En cada día, las sesiones deben dividirse en ejercicios cardiovasculares y de resistencia, 30 minutos de cada uno resulta perfecto. Los ejercicios cardiovasculares deben hacerse después del entrenamiento de fuerza.
¿Cuánto esfuerzo se necesita para quemar calorías?
La mayoría de las personas suelen sobrestimar la cantidad de calorías que se queman con el ejercicio y suponen que un poco quemará las calorías de cualquier exceso.
Cuadro de actividades que queman calorías mps = metros por segundo Adaptado de: Dietary Guidelines for Americans 2005.

|